内科
一般内科
内科診療とはお薬を中心とした治療を行う診療です。
動物は言葉を話せないので、ご自宅での症状や見た目は非常に重要です。
症状から病気の原因部位をある程度想定し、必要に応じて検査・投薬などを行っていきます。
ただし、状況によっては多くの検査が必要になり、費用も多く発生することがありますので、検査内容などについては飼い主様とご相談させていただきながら進めさせていただいております。
感染症治療
ケンネルコフや、いわゆる猫風邪の治療に対しては一般的な内服治療に加えてネブライザー療法なども行っています。重症度により治療内容は相談させていただきます。
また、猫における伝染性腹膜炎(FIP)について、国内製剤による一定の治療効果が確認されましたので、当院でも治療を開始しております。
猫伝染性腹膜炎(FIP)」のページはこちら

外科
外科診療とは手術を中心とした治療を行う診療です。
軟部外科
軟部外科とは、柔らかい組織(主に内蔵など)に発生した異常(腫瘍や腸閉塞など)を手術によって治療するものです。
現在、脳外科など一部の特殊な手術を除き、幅広く手術に対応しております。

整形外科
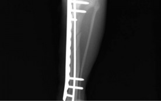
整形外科とは、骨や関節などに発生した異常(骨折や脱臼など)を手術によって治療するものです。
現在対応している疾患は、四肢骨折整復手術(前足、後ろ足の骨折整復)、膝蓋骨内方脱臼に対する安定化手術、前十字靭帯断裂に対する安定化手術(関節外法)、胸腰部椎間板ヘルニアに対する減圧手術(へミラミネクトミー)などです。
特殊な病態や治療困難度の高い疾患は大学病院などの二次診療施設へのご紹介により、対応させていただいております。

セカンドオピニオン
当院ではセカンドオピニオンも積極的に受け付けております。
他院での検査結果などがあればお持ちください。
また逆に、他院へのセカンドオピニオンの要望もご遠慮なくお申し出ください。
予防医療
一度病気になってしまうと、動物自身の負担も飼い主様の負担も大きくなってしまいます。
当院では病気にならないための予防医学を推奨しています。
混合ワクチン
犬の混合ワクチン
6種と8種の混合ワクチンの接種を行っております。
6種混合ワクチンに「レプトスピラ感染症」のワクチンを含めたものが8種混合ワクチンです。
レプトスピラ感染症は主にネズミの尿によって伝搬される伝染病で、ヒトにも感染する人獣共通感染症です。散歩コースやお出かけ先にネズミが出現するようなエリアが含まれるなら(山のキャンプ場や河川敷、飲食店街の裏路地など)、8種類の混合ワクチンの接種が推奨されます。

猫の混合ワクチン
3種の混合ワクチンの接種を行っております。 現在当院では、カリシウイルスワクチンが不活化のものを使用しています。

フィラリア予防
フィラリアは蚊によって伝搬される寄生虫疾患で、犬糸状虫症(いぬしじょうちゅうしょう)とも呼ばれます。フィラリアは蚊が吸血するときに寄生し、約半年間かけて心臓の肺動脈へと寄生していきます。
一度寄生されると駆除は困難ですが、予防薬の使用によりほぼ確実に予防できます。当院では主に1カ月に1回投与する内服薬(錠剤、チュアブル)を処方しております。

ノミ・ダニ予防
ノミ・ダニは体の表面に寄生し、犬や猫の皮膚から吸血します。
吸血する際に、他の伝染病を伝搬することもあるため注意が必要です。
特に室内飼育の動物では、ノミに寄生されるとその卵が部屋中にまき散らされるため、完全な駆除にかなりの時間を要しますので、寄生されないことが重要です。
予防期間については散歩コースなどによって変わりますが、草むらに頻繁に行くようなライフスタイルであれば通年予防を推奨しております。
当院では1カ月間効果の持続する外用薬(背中に垂らすスポットオンタイプ)と内服薬(錠剤・チュアブル)を処方しております。

その他の寄生虫の駆除
回虫(かいちゅう)、条虫(じょうちゅう)などの消化管内寄生虫が、犬や猫ではよく認められます。 中には人にも感染する可能性のある「人獣共通感染症」もありますので、特に小さなお子様やご高齢の方がいっしょに生活している場合には定期的な駆虫が推奨されます。
酔い止め
長時間の移動などで吐いてしまう犬には、酔い止めを処方致しております。 当院で通常処方するお薬は、「マロピタット」というお薬です。 1回の投与で24時間効果が持続します。 旅行や帰省などで、車酔いが心配な方はご相談ください。

reservation診療予約
東久留米 ハル犬猫病院は予約優先制です。
夜間救急や土日のご予約も受け付けております。